Hamstring Injuries
Jonathan, specialist physiotherapist in Cheltenham talks through a common hamstring injury.
Last week in clinic an elite level sprinter visited me for advice on a suspected hamstring injury. This is a very common injury I see in footballers and track athletes so I will use this case study to discuss the best management for hamstring tears.
Where are the Hamstring muscles and why are they important?
The hamstrings are a highly complex system of large muscles positioned at the back of the thigh. There are actually 4 separate areas of the hamstring muscles as shown in the diagram.
They are very important for any sports that involve fast explosive sprinting activities. The most important function of the hamstrings is actually to slow down the leg as it is accelerated forward by the strong quadriceps muscles. Not just bend the knee as commonly described in rehabilitation videos. This has very important implications when it comes to rehabilitation exercises as described later.
The most common scenario I see in clinic is the patient describes instant severe pain often combined with an audible popping sound during a sprint movement.
The most common areas to develop pain are one of 3 regions as shown by the arrows:
What should I do in the initial stages of a Hamstring Injury?
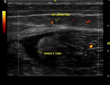
If there is a lot of bruising within 72 hours then it is advisable to get a scan on the injury in order to accurately diagnose the grade of tear and predict the likely time out of sport. Ultrasound scans are excellent for detecting muscle tears and can help predict return to play times. Below is the image of a grade 2 hamstring tear as was seen in this case study.


Stage 1 (7-10 days):
The first 7 days are very important in order to recover optimally. The best management if you suspect you have a hamstring muscle tear is to apply ice regularly along with a compression bandage around the area of pain. It is recommended to apply ice to the hamstring for 10-15 minutes 3-4 times a day (do not to apply ice directly to skin to avoid nasty ice burns!).
Stage 2 (10-21 days):
Once the initial pain has settled and you can walk without a limp (the time for this varies depending on how severe the initial tear was) the rehabilitation exercises can begin.
All the exercises below must be pain free:
Exercise bikes and rowing machines can be a great way to keep up cardiovascular fitness and general leg strength without putting too much stress on the hamstring muscles.
It is possible to start light slow jogging at this stage as long as pain free, but certainly no moderate or high speed running.
Some pain-free, gentle active range of motion exercises for the hamstrings can also be useful. See video for an example exercise.
https://www.youtube.com/watch?v=duBVzo9MWIU
Stage 3 (21 days +):
If you can perform all the above exercises pain free and you have full range of movement during the hamstring stretch, then it is time to start performing some eccentric strengthening.
Eccentric muscle contractions are important, as this is the main way in which the hamstrings work during sprinting. Eccentric means slow and braking type muscle contractions as if you were lowering a weight slowly from a biceps curl for example.
Some examples of good eccentric exercises are linked below:
https://www.youtube.com/watch?v=3JwxQy2OSus
https://www.youtube.com/watch?v=-6ZeNRD_zOA
In the case example shown above I expect this elite sprinter to return to sport in 6-8 weeks. We will be closely monitoring the muscle recovery with ultrasound imaging to determine when it is safe to return to sport.
Avoid these common hamstring injury mistakes:
- Returning to sport without any eccentric hamstring muscle training. If you have torn a hamstring muscle it needs to be strong whilst it is on a stretch otherwise it will likely tear again.
- The biggest mistake I see with Hamstring injuries is athletes returning to play TOO EARLY. When this happens, they regularly re-tear an area that was not yet fully healed. It is important to understand that the pain from a hamstring muscle tear can settle much quicker than the actual tear can fully heal, this means athletes feel better than they should and return to play too early.
- Not getting the tear properly diagnosed. Muscle injuries can be effectively diagnosed and monitored with ultrasound scans and are much more cost effective than MRI scans. Ultrasound scans can also be used to determine when an athlete can safely return to play.
If you are struggling with a hamstring injury, then it is advisable to get some advice from a professional for the quickest recovery. If you would like some advice, then please get in contact to organise a scan or to discuss the best way forward.
Social Links
https://www.instagram.com/skelian_chiropractic/
https://www.facebook.com/skelianclinic/
https://www.youtube.com/channel/UCCJ9BXYUAAfOie7zTUUeIKA/videos